Inspirational journeys

Follow the stories of academics and their research expeditions

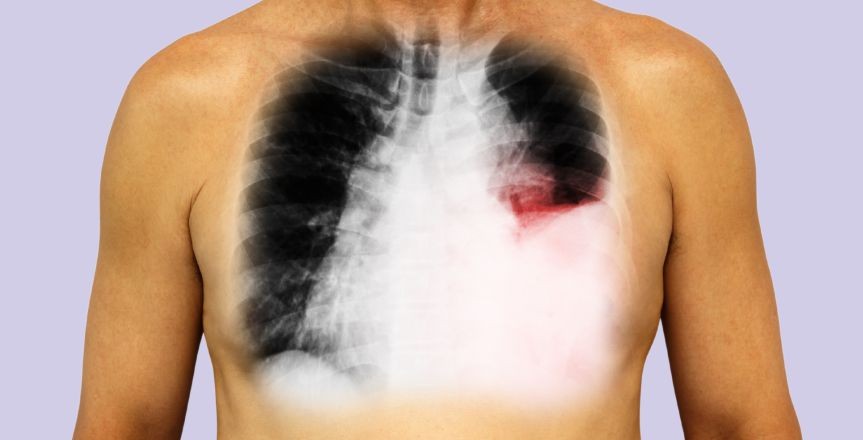
Pleural Effusion

Rigomo Team

Sat, 04 Oct 2025

Pleural Effusion

The accumulation of fluid in layers in the layer between the lungs and chest cavity. A small amount of fluid is present in this cavity for lubrication during breathing, but too much accumulation can cause a problem, which is stated as pleural effusion.


Causes


A wide variety of things can cause a serious membrane effusion which may include

o   Congestive heart failure.

o   Cirrhosis

o   Pulmonary embolism

o   Cancer.

o   Kidney disease

o   Infections: pneumonia.

o   Autoimmune conditions. Lupus or rheumatoid arthritis

 

Symptoms



You may not have any symptoms in case of a small effusion, but, if there is a large or moderate-sized pleural effusion, or if there's associated inflammation. Then you may have

o   Shortness of breath

o   Chest pain, especially during deep inhalation (This is termed pleuritic pain.)

o   Fever

o   Cough

 

Types of pleural effusion


"Transudative" and "Exudative" are the 2 main types of pleural effusions


Type of Pleural Effusion

Transdutaive

Exudative

Cause

Increased pressure in the blood vessels can lead to the leaking of fluid into the pleural space

 

The fluid buildup occurs owing to infection, injury, and the associated    inflammation

  

 

Conditions that can give rise to this effusion type

>       Congestive heart failure

>       Cirrhosis

>       kidney disease

>       Malnutrition

>       tuberculosis

>       cancer

>       inflammatory conditions, [lupus, or rheumatoid arthritis]

>       pneumonia


0 Comments

Leave a comment